Healthy Teeth and Happy Kids
Post pregnancy especially the first child, the parent is on tenterhooks with regard to the infant's overall health. The slightest sneeze or the baby not burping after feeding makes you run to your pediatrician to find out if there is something seriously wrong with your baby. With the publication of various books and google throwing up answers to every possible question your mind can frame, not ignoring of course the wisdom of our elders as well, parent's in today'sInformation Age think they have an idea of what to expect when it comes to parenthood. However it has been noticed that this information overload usually aggravates the problem rather than diminishing it.
The aim of this article is to therefore to dispel some myths and shed some light over common problems faced by newborns and toddlers, the normal developmental stages of teeth and how to maintain your baby’s oral hygiene right from an early age.
The first thing that you need to be aware of is the sequence in which your baby will start getting his milk teeth followed by the permanent ones. The first teeth to make their presence felt in the baby' s mouth are usually the lower front teeth also known as the lower incisors, seen around 6-7 months of age.
Sometimes a tooth is visible in the infant’s mouth at the time of birth known as the natal teeth or in the first 30 days of life called the neonatal teeth, the causes being attributed to malnutrition, environmental factors and genetics.
Sometimes a tooth is visible in the infant’s mouth at the time of birth known as the natal teeth or in the first 30 days of life called the neonatal teeth, the causes being attributed to malnutrition, environmental factors and genetics.
The normal age criteria:
6mnths to 3yrs : Eruption of milk tooth.3yrs to 6 yrs : Presence of complete primary dentition ( the milk teeth).
6yrs - 14 yrs: That's when the permanent (adult) teeth erupt and the child gradually loses all his milk teeth.
Wisdom tooth i.e the 3rd molar has it's own time between 17- 24 yrs .
In a nutshell, milk teeth usually start erupting by 6 months and finish erupting by 3 yrs at the end of which a total of 20 teeth are seen in number.
By the age of 6 years, the first permanent teeth that appears is usually the lower permanent 1st molar. Eventually the milk teeth become loose and are shed to be replaced by their permanent counterparts and this process of getting permanent teeth completes by 14 years amounting to a total of 28 permanent teeth, all the milk teeth having fallen.
Why should you be vigilant :
Fibrous foods are natural cleansers right from your teeth to your bowels. As it has been rightly said it is not restriction but moderation that is the key to a healthy being and happy teeth.
Problems:
You will be surprised to know that kid's can also develop a myriad of tooth and gum related problems that you would usually associate with adults. It would be unwise therefore to ignore their dental regime just because the milk teeth get replaced at a certain age .This ignorance on your part can give them their share of pain associated with decayed teeth and swollen gums.
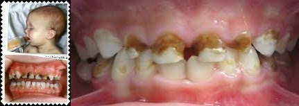
Cavities : The last milk tooth falls off when the kid is around 12 yrs old. From 6 mnths to 12 yrs is a long enough time for the teeth to get decayed and develop cavities. So yes, they need their fillings too and if left untreated these cavities can involve the nerve of the tooth often necessitating the need for root canals.
Gums : Plaque and tartar deposits are very commonly seen in kids especially in the lower front teeth since they are constantly binging on chips and cookies and often are either not brushing or brushing improperly. Their brushing technique differs from yours. Get that tartar removed from a dentist and learn the correct way of brushing if you don't want your kid to suffer from bleeding gums and bone loss at this age.
Crooked teeth :The ages mentioned above are the average age brackets during which the milk or the primary teeth fall. Any deviation 6 months above and below this age bracket is considered normal. But beyond this it is crucial to know the reason behind the delayed exfoliation and consider tooth removal. The reason being, if it does fall off, it will not allow the eruption of the permanent tooth in it's place or the permanent teeth will erupt in an abnormal position resulting in maligned or crooked teeth.
Maintenance:
Maintenance involves two aspects, diet regulation and proper oral hygiene procedures.Diet regulation
1.The foetus gets it's nutrients from the mother’s bloodstream. Hence it is important that the mother takes a nutritious balanced diet with adequate supplement of minerals and vitamins. Calcium , phosphorus and other minerals in prescribed quantities are extremely vital during the first trimester for proper teeth development.
2. Sugary snacks and sticky foods should be avoided between meals. They are kids at the end of the day so they will yearn for sweets. They are best offered at meal times.
Oral hygiene maintenance:
0-1 yrs: Wrap a clean cloth around the index finger of your hand and gently massage the teeth and the gums.
Even if your child is free from any dental problems, a yearly visit to the dental office can go a long way in teaching him the lesson that prevention is indeed better than cure especially with the high cost of dental treatment today. Do not wait for a painful cavity to warrant a visit to the dentist which would invariably be an unpleasant one and may introduce a fear of treatment in their minds. Instead the visit should be a non threatening pleasant one so that right from a young age the child is a fan and not a foe of dentistry.
Oral hygiene maintenance:
0-1 yrs: Wrap a clean cloth around the index finger of your hand and gently massage the teeth and the gums.
1-3 yrs: Start using a toothbrush for cleaning. Use a pea sized amount of toothpaste specially formulated for kids from 2yrs of age. Refer to a dentist for the correct technique.
3-6 yrs: Teach them how to brush and let them do it on their own under your supervision. Flossing can be introduced to your kids.
6 yrs onwards: With the eruption of the first permanent molar, the mixed dentition period i.e, when both the sets of teeth are present in the mouth begins. The brushing technique is same as adults.
Certain pointers :
- It is advisable to discontinue breastfeeding at night after the eruption of the first tooth and to clean the gumpads and teeth after each feed as described above. The reason being that prolonged breastfeeding habits provides an environment for proliferation of bacteria and increased caries activities. The same is applicable with bottle feeding as well. Otherwise your child will suffer from early childhood caries or nursing bottle caries.
- Teething: It is a process by which the teeth erupt after penetration of the overlying gums. It is a normal physiological process but can be accompanied by fever, itching of the gums, diarrhea and convulsion. When infant's start teething they have the urge to pick up anything they can find and put it in their mouth just to chew on it. Gently massage the area with a gauze piece or a clean cloth slightly soaked in saline. Teething rings are available in the market that will give them something to get a bite on. Analgesic gels prescribed by your dentist may also provide relief. Avoid adding sugary liquids to these teething rings or nipples such as honey or it may promote decay in the existing teeth.
- If you think that your kid has malaligned teeth, the period between 12- 14 yrs is a good time to get a check up done with the orthodontist i.e ur braces specialist. The jaw bone exhibits growth till the child is 18yrs of age. Hence along with teeth straightening if correction of the jaw bone is also required it can be attempted during this period with better results.
- Topical fluoride treatment :It's good to get a topical fluoride treatment done under dental supervision twice a yr beginning from 3rd yr upto 13 yrs as fluoride reduces the incidence of cavities. Fluoride has the ability to strengthen the tooth enamel and make it more resistant to decay.
- Incase your kids suffers a trauma on his face while playing or due to a fall and you notice that his tooth has fallen off intact, place the tooth in milk or saline or saliva and take the kid to the dentist immediately. The earlier you go better are the chances that the same tooth can be implanted in the child's mouth.
- If you are advised dental procedures under general anaesthesia for your child due to various reasons, it would be advisable to get the treatment done in a hospital setup, by a pedodontist and under a trained anesthetist, where the necessary backup is available in case an emergency arises .
- I have come across parent's who use desentising toothpastes that have been prescribed for them for their kids as well. Remember desentising toothpastes carry large amounts of flouride that are beyond the recommended levels for kids and can adversely affect your childs health. The child’s needs are slightly different from ours and they should not be considered to be mini adults.
Even if your child is free from any dental problems, a yearly visit to the dental office can go a long way in teaching him the lesson that prevention is indeed better than cure especially with the high cost of dental treatment today. Do not wait for a painful cavity to warrant a visit to the dentist which would invariably be an unpleasant one and may introduce a fear of treatment in their minds. Instead the visit should be a non threatening pleasant one so that right from a young age the child is a fan and not a foe of dentistry.
I hope this article has quelled some myths and answered some queries that expectant and new parents had in their mind.. here’s to a healthy and happy smile for every child in India.
ALSO READ : Your Oral Guide to Pregnancy
Labels: Dental Care


.jpg)










Very informative and well explained article by Dr. Shaikh
ReplyDelete